|
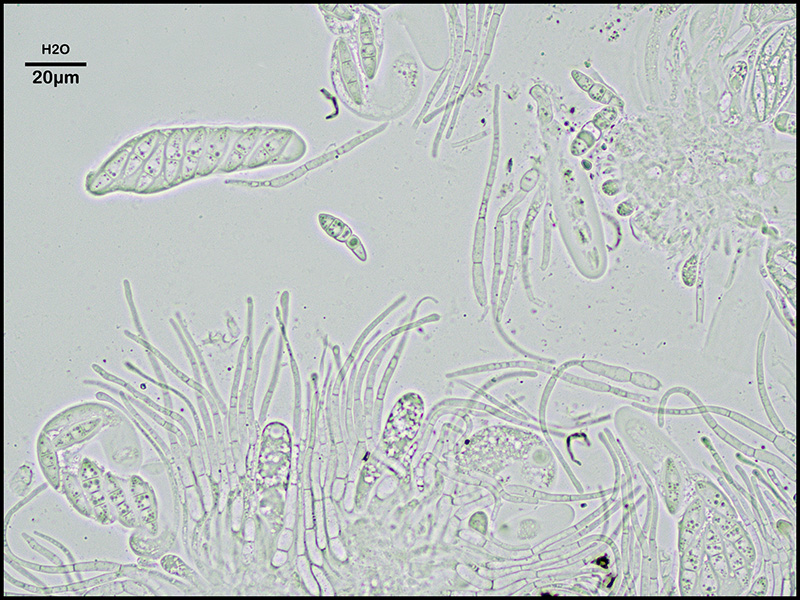
Lophiostomataceae - Lophiostoma |
|
|
| hepaticarum - CF (P. Crouan & H. Crouan) Aptroot & K.D. Hyde 2002 |
|
|
![]() |
| photos GM - 62 Samer - 24 03 24 sur Zea X 20 |
![]() |
| asque & spores |
![]() |
| asques & spores |
![]() |
| spores |
![]() |
| asques - spores - paraphyses |
![]() |
| spores |
![]() |
| asques - spores - paraphyses |