Pezizaceae  -  Peziza


fimeti (Fuckel) E.C. Hansen 1877

photo DC - 10 Souligny
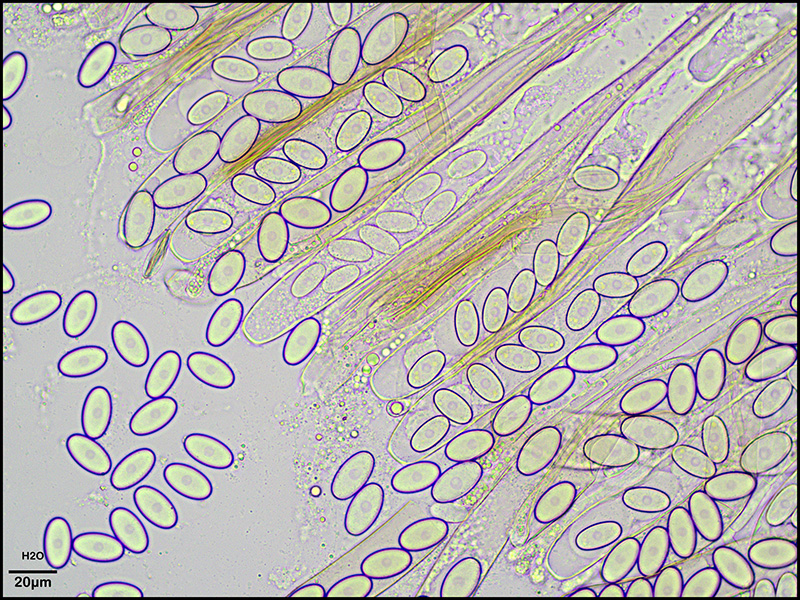
photos GM - asques - spores - paraphyses
asques & spores
asque - spores - paraphyses